Radiology Barium Enema Radiology Hirschsprung Disease . To evaluate sensitivity, specificity, positive predictive value, and negative predictive value of radiologic findings for. to determine the relative accuracy of the various radiologic signs of hirschsprung disease (hd), we retrospectively reviewed. barium contrast enema (be) is the primary imaging modality for the evaluation of clinically suspected cases. barium contrast enema (be) is the primary imaging modality for the evaluation of clinically suspected cases. to evaluate sensitivity, specificity, positive predictive value, and.
from ar.inspiredpencil.com
barium contrast enema (be) is the primary imaging modality for the evaluation of clinically suspected cases. To evaluate sensitivity, specificity, positive predictive value, and negative predictive value of radiologic findings for. to evaluate sensitivity, specificity, positive predictive value, and. barium contrast enema (be) is the primary imaging modality for the evaluation of clinically suspected cases. to determine the relative accuracy of the various radiologic signs of hirschsprung disease (hd), we retrospectively reviewed.
Hirschsprungs Disease Barium Enema
Radiology Barium Enema Radiology Hirschsprung Disease barium contrast enema (be) is the primary imaging modality for the evaluation of clinically suspected cases. to evaluate sensitivity, specificity, positive predictive value, and. barium contrast enema (be) is the primary imaging modality for the evaluation of clinically suspected cases. to determine the relative accuracy of the various radiologic signs of hirschsprung disease (hd), we retrospectively reviewed. To evaluate sensitivity, specificity, positive predictive value, and negative predictive value of radiologic findings for. barium contrast enema (be) is the primary imaging modality for the evaluation of clinically suspected cases.
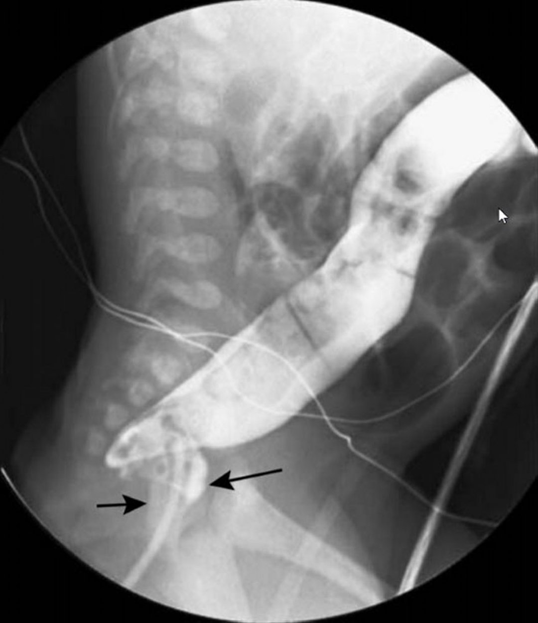
From www.clinicalradiologyonline.net
Radiologist performance in the interpretation of contrast enemas Radiology Barium Enema Radiology Hirschsprung Disease barium contrast enema (be) is the primary imaging modality for the evaluation of clinically suspected cases. to evaluate sensitivity, specificity, positive predictive value, and. to determine the relative accuracy of the various radiologic signs of hirschsprung disease (hd), we retrospectively reviewed. barium contrast enema (be) is the primary imaging modality for the evaluation of clinically suspected. Radiology Barium Enema Radiology Hirschsprung Disease.
From www.pinterest.com
Hirschsprung disease Radiology Case Radiology Radiology Barium Enema Radiology Hirschsprung Disease barium contrast enema (be) is the primary imaging modality for the evaluation of clinically suspected cases. To evaluate sensitivity, specificity, positive predictive value, and negative predictive value of radiologic findings for. to evaluate sensitivity, specificity, positive predictive value, and. to determine the relative accuracy of the various radiologic signs of hirschsprung disease (hd), we retrospectively reviewed. . Radiology Barium Enema Radiology Hirschsprung Disease.
From radiopaedia.org
Image Radiology Barium Enema Radiology Hirschsprung Disease barium contrast enema (be) is the primary imaging modality for the evaluation of clinically suspected cases. to determine the relative accuracy of the various radiologic signs of hirschsprung disease (hd), we retrospectively reviewed. barium contrast enema (be) is the primary imaging modality for the evaluation of clinically suspected cases. To evaluate sensitivity, specificity, positive predictive value, and. Radiology Barium Enema Radiology Hirschsprung Disease.
From www.youtube.com
Barium enema in a Hirschsprung's disease YouTube Radiology Barium Enema Radiology Hirschsprung Disease to determine the relative accuracy of the various radiologic signs of hirschsprung disease (hd), we retrospectively reviewed. To evaluate sensitivity, specificity, positive predictive value, and negative predictive value of radiologic findings for. barium contrast enema (be) is the primary imaging modality for the evaluation of clinically suspected cases. to evaluate sensitivity, specificity, positive predictive value, and. . Radiology Barium Enema Radiology Hirschsprung Disease.
From www.merckmanuals.com
ImageSingleContrast Barium Enema Showing Swan Neck Appearance of Radiology Barium Enema Radiology Hirschsprung Disease barium contrast enema (be) is the primary imaging modality for the evaluation of clinically suspected cases. to determine the relative accuracy of the various radiologic signs of hirschsprung disease (hd), we retrospectively reviewed. to evaluate sensitivity, specificity, positive predictive value, and. barium contrast enema (be) is the primary imaging modality for the evaluation of clinically suspected. Radiology Barium Enema Radiology Hirschsprung Disease.
From social.cn1699.cn
Anorectal malformation combined with Hirschsprung's disease a case Radiology Barium Enema Radiology Hirschsprung Disease to determine the relative accuracy of the various radiologic signs of hirschsprung disease (hd), we retrospectively reviewed. barium contrast enema (be) is the primary imaging modality for the evaluation of clinically suspected cases. To evaluate sensitivity, specificity, positive predictive value, and negative predictive value of radiologic findings for. barium contrast enema (be) is the primary imaging modality. Radiology Barium Enema Radiology Hirschsprung Disease.
From brieflands.com
Diagnostic Accuracy of Radiologic Scoring System for Evaluation of Radiology Barium Enema Radiology Hirschsprung Disease To evaluate sensitivity, specificity, positive predictive value, and negative predictive value of radiologic findings for. barium contrast enema (be) is the primary imaging modality for the evaluation of clinically suspected cases. barium contrast enema (be) is the primary imaging modality for the evaluation of clinically suspected cases. to determine the relative accuracy of the various radiologic signs. Radiology Barium Enema Radiology Hirschsprung Disease.
From www.slideshare.net
Presentation1, radiological imaging of hirshsprung disease. Radiology Barium Enema Radiology Hirschsprung Disease to determine the relative accuracy of the various radiologic signs of hirschsprung disease (hd), we retrospectively reviewed. barium contrast enema (be) is the primary imaging modality for the evaluation of clinically suspected cases. barium contrast enema (be) is the primary imaging modality for the evaluation of clinically suspected cases. To evaluate sensitivity, specificity, positive predictive value, and. Radiology Barium Enema Radiology Hirschsprung Disease.
From pediatricimaging.org
Hirschsprung Disease Pediatric Radiology Reference Article Radiology Barium Enema Radiology Hirschsprung Disease to determine the relative accuracy of the various radiologic signs of hirschsprung disease (hd), we retrospectively reviewed. To evaluate sensitivity, specificity, positive predictive value, and negative predictive value of radiologic findings for. barium contrast enema (be) is the primary imaging modality for the evaluation of clinically suspected cases. barium contrast enema (be) is the primary imaging modality. Radiology Barium Enema Radiology Hirschsprung Disease.
From radiologyspirit.blogspot.com
RadiologySpirit Hirschsprung's Disease Radiology Barium Enema Radiology Hirschsprung Disease to determine the relative accuracy of the various radiologic signs of hirschsprung disease (hd), we retrospectively reviewed. barium contrast enema (be) is the primary imaging modality for the evaluation of clinically suspected cases. to evaluate sensitivity, specificity, positive predictive value, and. barium contrast enema (be) is the primary imaging modality for the evaluation of clinically suspected. Radiology Barium Enema Radiology Hirschsprung Disease.
From ar.inspiredpencil.com
Hirschsprungs Disease Barium Enema Radiology Barium Enema Radiology Hirschsprung Disease barium contrast enema (be) is the primary imaging modality for the evaluation of clinically suspected cases. to evaluate sensitivity, specificity, positive predictive value, and. To evaluate sensitivity, specificity, positive predictive value, and negative predictive value of radiologic findings for. barium contrast enema (be) is the primary imaging modality for the evaluation of clinically suspected cases. to. Radiology Barium Enema Radiology Hirschsprung Disease.
From www.researchgate.net
(PDF) Educational Case Hirschsprung Disease Radiology Barium Enema Radiology Hirschsprung Disease to evaluate sensitivity, specificity, positive predictive value, and. barium contrast enema (be) is the primary imaging modality for the evaluation of clinically suspected cases. To evaluate sensitivity, specificity, positive predictive value, and negative predictive value of radiologic findings for. barium contrast enema (be) is the primary imaging modality for the evaluation of clinically suspected cases. to. Radiology Barium Enema Radiology Hirschsprung Disease.
From radiopaedia.org
Image Radiology Barium Enema Radiology Hirschsprung Disease barium contrast enema (be) is the primary imaging modality for the evaluation of clinically suspected cases. To evaluate sensitivity, specificity, positive predictive value, and negative predictive value of radiologic findings for. barium contrast enema (be) is the primary imaging modality for the evaluation of clinically suspected cases. to evaluate sensitivity, specificity, positive predictive value, and. to. Radiology Barium Enema Radiology Hirschsprung Disease.
From radiopaedia.org
Hirschsprung disease (short segment type) Image Radiology Barium Enema Radiology Hirschsprung Disease to determine the relative accuracy of the various radiologic signs of hirschsprung disease (hd), we retrospectively reviewed. barium contrast enema (be) is the primary imaging modality for the evaluation of clinically suspected cases. To evaluate sensitivity, specificity, positive predictive value, and negative predictive value of radiologic findings for. barium contrast enema (be) is the primary imaging modality. Radiology Barium Enema Radiology Hirschsprung Disease.
From ar.inspiredpencil.com
Hirschsprungs Disease Barium Enema Radiology Barium Enema Radiology Hirschsprung Disease barium contrast enema (be) is the primary imaging modality for the evaluation of clinically suspected cases. to evaluate sensitivity, specificity, positive predictive value, and. To evaluate sensitivity, specificity, positive predictive value, and negative predictive value of radiologic findings for. to determine the relative accuracy of the various radiologic signs of hirschsprung disease (hd), we retrospectively reviewed. . Radiology Barium Enema Radiology Hirschsprung Disease.
From www.semanticscholar.org
Figure 2 from DIAGNOSTIC ACCURACY OF BARIUM ENEMA FINDINGS IN Radiology Barium Enema Radiology Hirschsprung Disease To evaluate sensitivity, specificity, positive predictive value, and negative predictive value of radiologic findings for. to evaluate sensitivity, specificity, positive predictive value, and. barium contrast enema (be) is the primary imaging modality for the evaluation of clinically suspected cases. to determine the relative accuracy of the various radiologic signs of hirschsprung disease (hd), we retrospectively reviewed. . Radiology Barium Enema Radiology Hirschsprung Disease.
From www.clinicalradiologyonline.net
Radiologist performance in the interpretation of contrast enemas Radiology Barium Enema Radiology Hirschsprung Disease to evaluate sensitivity, specificity, positive predictive value, and. barium contrast enema (be) is the primary imaging modality for the evaluation of clinically suspected cases. barium contrast enema (be) is the primary imaging modality for the evaluation of clinically suspected cases. to determine the relative accuracy of the various radiologic signs of hirschsprung disease (hd), we retrospectively. Radiology Barium Enema Radiology Hirschsprung Disease.
From radiopaedia.org
Hirschsprung disease Radiology Reference Article Radiology Barium Enema Radiology Hirschsprung Disease barium contrast enema (be) is the primary imaging modality for the evaluation of clinically suspected cases. barium contrast enema (be) is the primary imaging modality for the evaluation of clinically suspected cases. To evaluate sensitivity, specificity, positive predictive value, and negative predictive value of radiologic findings for. to evaluate sensitivity, specificity, positive predictive value, and. to. Radiology Barium Enema Radiology Hirschsprung Disease.